診療理念・コンセプト
当院の特徴
矯正に詳しい歯科医師が歯並びに関する
お悩みをお伺いします
矯正治療をお考えのかた、ご自身の歯並びでお悩みのかたは、ぜひ一度当院の無料相談をご利用ください。矯正実績や経験が豊富な歯科医師がお口に関するお悩みなどをじっくりとお聞きし、治療内容や期間、費用、メリット・デメリットなど、丁寧にご説明いたします。どうぞお気軽にご相談ください。
矯正担当の歯科医師が
矯正相談・調整に対応
当院には矯正治療を担当する歯科医師が常駐しており、曜日を問わずいつでも相談に応じることができます。また、矯正装置の調整など、急なトラブルにもすぐに対応できる体制を整えており、患者さんがご自身の都合にあわせて来院いただくこともできます。
専用のカウンセリングルームで
丁寧に説明いたします
患者さんのお悩みやご希望などを丁寧にお伺いするため、院内には専用のカウンセリングルームを設けており、安心してご相談いただけます。カウンセリングでは、矯正治療専用の分析ソフト「CephaloMetrics AtoZ」を活用し、歯の動きや噛み合わせを3次元画像で確認しながら、治療の流れや効果をわかりやすくご説明します。
経験豊富な歯科医師が
包括的な歯科治療を提供
当院には、日本矯正歯科学会認定医やインビザライン認定ドクターなど、経験豊富な歯科医師が在籍しています。矯正治療以外の治療にも精通しており、むし歯・歯周病の治療、口腔外科、予防・メンテナンス、インプラント治療に至るまで幅広く、包括的な歯科治療をご提供できる体制を整えております。
日本矯正歯科学会認定医
インビザライン認定ドクター
日本矯正歯科学会所属
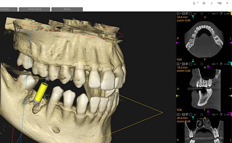
先進の精密機器を
導入し精度の高い
診断につなげています
歯科治療を行う場合、まず患者さんのお口の中の状態や症状を正確に診断する必要があります。当院では、歯科用CT、口腔内スキャナー(iTero)、セファロなど、先進の精密機器を導入し、精度の高い検査、診断につなげています。
歯科用CT
通常のレントゲン撮影ではわからない歯や顎の立体的な構造、骨の厚み、歯根の位置、歯の傾きなどを立体的に撮影します。お口の状態を詳しく把握できるため、正確な診断が可能です。医科用CTに比べて被ばく量が少なく、撮影時間が短いのも特徴です。
口腔内スキャナー(iTero)
患者さんのお口の中を専用の小型カメラでスキャンし、1分程度で精密な歯型のデータを取得することができます。従来のような粘土状の印象材を使わないため、患者さんの負担が少ないのが特徴です。取得したデータはマウスピース矯正や被せ物・詰め物の製作に活用されています。
セファロ
標準規格で撮影された頭部エックス写真をもとに、横顔の輪郭や顎の位置、上下の顎のバランス、歯の傾き・角度などを分析し、詳細な治療計画を立てられます。歯並びや噛み合わせは顔の印象や輪郭にも大きく影響するため、セファロによる検査・分析は矯正治療に欠かせません。
衛生管理について
院内の衛生管理を徹底
安心して治療を
受けていただけます
当院では、患者さんに安心して治療を受けていただくために、徹底した衛生管理を行っております。治療器具は高圧蒸気滅菌器やタービン用滅菌器で滅菌し、院内をクリーンに保つために口腔外バキュームや医療用空気清浄機を導入。厚生労働省に歯科外来診療感染対策加算の届け出も行い、清潔で安全な環境を整えています。
口腔外バキューム
高圧蒸気滅菌器
医療用空気清浄機
タービン用滅菌
滅菌パック
使い捨て製品の活用
診療時間
〒444-0874 愛知県岡崎市竜美南2丁目7-1
| 診療時間 | 月 | 火 | 水 | 木 | 金 | 土 | 日 | 祝 |
|---|---|---|---|---|---|---|---|---|
| 9:00~13:00 | ● | ● | ● | / | ● | ● | / | / |
| 14:30~18:30 | ● | ● | ● | / | ● | ▲ | / | / |
休診日:木曜、日曜、祝日
▲:土曜午後は14:00~17:30
アクセス
お車でお越しの方へ
岡崎ICより車で約11分 | 駐車場あり
公共交通機関でお越しの方へ
名鉄バス岡崎南線(竜美丘循環) バス停「保育園前」すぐ
名鉄バス岡崎南内線 バス停「商工会議所前」より徒歩約4分









